Impressum    Datenschutz    
Schöne Zähne

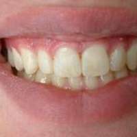
Lückenschluss nach Kfo

Lückenschluss nach Kfo


Nach korrekter kieferorthopädischer Einstellung der Verzahnung bleiben gelegentlich Lücken durch unterschiedlich große Zähne.  ...weiter


Zahnfarbene Füllungen


Zahnfarbene Füllungen werden direkt im Mund aus sogenannten Composite-Kunststoffen angefertigt.   ...weiter


© 2011 Ihre Zahnarztpraxis - Dr. med. dent. Kurt Vialon