

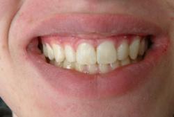
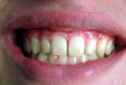
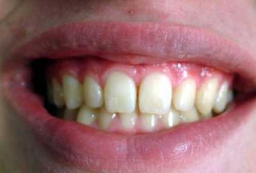
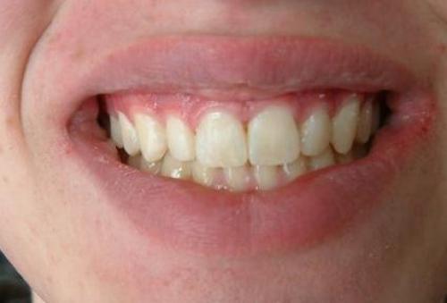
Nach korrekter kieferorthopädischer Einstellung der Verzahnung bleiben gelegentlich Lücken durch unterschiedlich große Zähne. Mit spezieller Klebetechnik können die Zähne verbreitert werden und es entsteht ein harmonisches Gesamtbild. Ein großer Vorteil dieser Methode ist, dass die Zähne überhaupt nicht beschliffen werden, es wird nur in kleinen Portionen Compositematerial angeklebt.